Fibromuscular Dysplasia Of Renal Arteries Leads To High Blood Pressure

Fibromuscular Dysplasia Of Renal Arteries Leads To High Blood Pressure

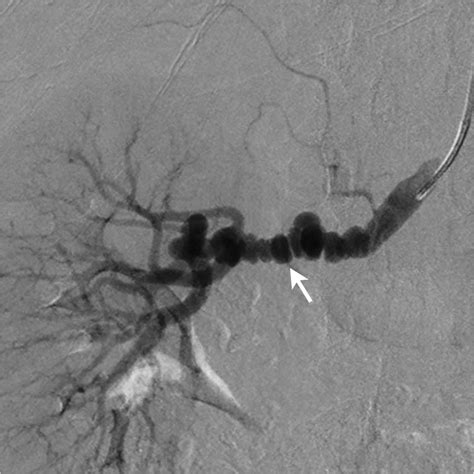
Image:Fibromuscular Dysplasia of the Renal Artery-Merck Manual

Renal denervation in fibromuscular dysplasia | BMJ Case Reports

Renal denervation in fibromuscular dysplasia | BMJ Case Reports

hypertension | Calgary GuideCalgary Guide

hypertension | Calgary GuideCalgary Guide

Read also: Public Health Groups Warn About Renal Disorder Rates In The City

close